Request a video call
Confirm Your Virtual Consultation
UltimaDent Descripción general del perfil

Ultimadent en Izmir, Turquía: pionero en tecnología dental avanzada
En UltimaDent , nos enorgullecemos de ser una clínica dental líder en Izmir, Turquía, reconocida por nuestra tecnología de vanguardia. Nuestro compromiso con el éxito del tratamiento y la comodidad del paciente nos distingue. Mediante el uso de métodos de diagnóstico y técnicas de tratamiento avanzados, garantizamos precisión y eficiencia. Nuestro enfoque digital elimina las molestias de las impresiones dentales tradicionales, lo que nos permite determinar el modelo dental más adecuado en una sola sesión. Experimente el futuro de la odontología con UltimaDent.
Experiencia que define una atención dental excepcional
Cuando se trata de atención dental experta, UltimaDent se destaca en Izmir, Turquía. Nuestro equipo de dentistas altamente capacitados, liderado por el Dr. Nevsin Sener , el Dr. Asociado Buket Han , el Dr. Engin Yigit Reis y el Dr. Mehmet Soydinc , se dedica a brindar un tratamiento excepcional. Con su amplia experiencia y compromiso para mantenerse al día con los últimos avances, puede confiar en que su salud bucal está en las mejores manos. Priorizamos la atención personalizada y las soluciones efectivas adaptadas a sus necesidades únicas.
Liberando el potencial de las opciones de tratamiento avanzadas
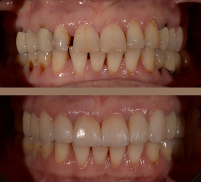
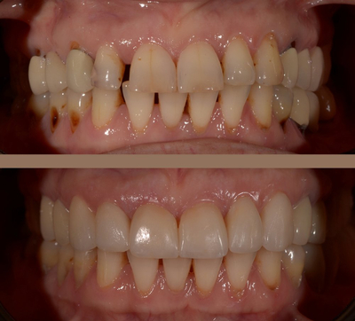
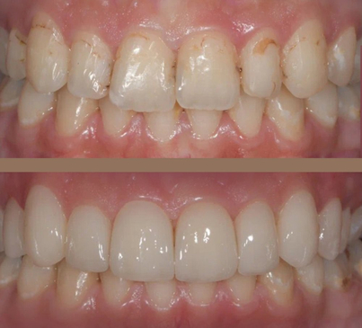
En UltimaDent, ofrecemos una amplia gama de tratamientos avanzados para transformar su sonrisa. Desde odontología estética y carillas laminadas hasta coronas de zirconio. Y diseño de sonrisa : nuestra experiencia lo abarca todo. Consiga una sonrisa radiante y segura con nuestros procedimientos de blanqueamiento dental o benefíciese de la estabilidad y comodidad de los implantes dentales all-on-4 . Para casos complejos, nuestro equipo de expertos se destaca en cirugía maxilar, garantizando resultados funcionales y estéticos óptimos. Experimente el poder de la odontología avanzada con UltimaDent.
Instalaciones de vanguardia para una atención inigualable
En UltimaDent nos enorgullecemos de brindar una atención dental inigualable en Izmir, Turquía, con nuestras instalaciones de vanguardia. Nuestra clínica está equipada con tecnología avanzada, que incluye imágenes digitales, escáneres intraorales y opciones de tratamiento mínimamente invasivas. Priorizamos la comodidad y la seguridad del paciente, ofreciendo un ambiente relajado y cumpliendo estrictos protocolos de esterilización. Desde el momento en que ingrese a nuestra clínica, experimentará la diferencia que las instalaciones modernas marcan en la prestación de una atención dental excepcional.
Enfoque holístico para el cuidado bucal integral
En UltimaDent, creemos en un enfoque holístico del cuidado bucal que va más allá de los tratamientos individuales. Nuestro equipo se compromete a brindar atención dental integral, con énfasis en medidas preventivas, detección temprana y planes de tratamiento personalizados. Desde revisiones y limpiezas de rutina hasta procedimientos restauradores avanzados, abordamos todos los aspectos de su salud bucal. Con nuestro enfoque centrado en el paciente, nos esforzamos por ayudarle a mantener un bienestar dental óptimo de por vida.
Elevando la experiencia del paciente a nuevas alturas
En UltimaDent, la experiencia superior del paciente es fundamental para nosotros. Nos esforzamos al máximo para garantizar su comodidad y satisfacción durante toda su experiencia dental. Desde nuestro personal amable y compasivo hasta la eficiente programación de citas y los procesos optimizados, priorizamos su comodidad. Nuestro equipo se toma el tiempo para escuchar sus inquietudes, informarle sobre sus opciones de tratamiento y responder a cualquier pregunta que pueda tener. Experimente una atención dental que supere sus expectativas en UltimaDent.
Resultados ejemplares y satisfacción del paciente
En UltimaDent, nos enorgullecemos de ofrecer resultados ejemplares y garantizar la satisfacción del paciente. Nuestro equipo de profesionales dedicados trabaja incansablemente para superar las expectativas y lograr resultados excepcionales. Priorizamos la comunicación abierta e involucramos activamente a nuestros pacientes en su proceso de tratamiento. Con nuestro compromiso con la excelencia, la atención personalizada y la atención al detalle, nos esforzamos por dejar una impresión duradera en cada paciente. Confíe en UltimaDent para una experiencia dental en Izmir, Turquía, que le dejará una sonrisa llena de confianza.
Nuestro representante de atención al cliente en PlacidWay le ayudará a contactar con UltimaDent, clínica dental en Izmir, Turquía. Haga clic en el botón de contacto a continuación para comenzar.
Ubicación
Reviews
Acerca del Centro Médico
- Translations: EN AR DE ES FR IT NL RO RU
- Especialidad: Dentistry
- Ubicación: Kazim Dirik Mah. 372, 33. Sk. No:8, 35030 Bornova, Izmir, Turkey, Izmir, Turkey
- Revisado médicamente por: Ass. Prof. Buket Han,
- Médicos asociados: Ass. Prof. Buket Han, , Dr. Nevşin Şener , Dr. Engin Yiğit Reis
- Descripción general: Experimente atención dental de primera calidad en Izmir, Turquía, con UltimaDent. Combinamos tecnología avanzada y experiencia para brindar los mejores tratamientos dentales.

Comparte este listado