
UltimaDent en Izmir, Turkey Reseñas de pacientes reales
Focus Area:
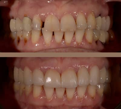
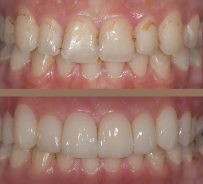
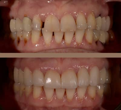
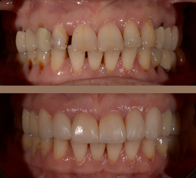
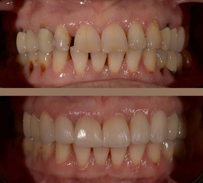
UltimaDent | Izmir | Turquía | Odontología cosmética | Carillas laminadas | Coronas de zirconio | Diseño de sonrisas | Blanqueamiento dental | Implantes dentales All on 4 | Cirugía de mandíbula
Acerca de UltimaDent
Experimente atención dental de primera calidad en Izmir, Turquía, con UltimaDent. Combinamos tecnología avanzada y experiencia para brindar los mejores tratamientos dentales.



Review Summary of UltimaDent
Thais Erthal, Seda Kutluk, Tijen Kuyumcu Akbulut, Nermin Cantay, and Emel Sen all had positive experiences at UltimaDent in Izmir, Turkey. Dr. Nevsin SENER and her staff were praised for their competence and friendliness, with the clinic being described as impeccable and conveniently located. The service quality was highlighted as exceeding European standards, particularly with advanced gum treatments. Patients appreciated the warm and friendly staff, as well as the clinic's cleanliness and modern facilities. The personalized care and attention to detail, especially during the welcoming process, left a lasting impression on visitors. Overall, UltimaDent garnered high praise for its exceptional care and top-notch services.
This Summary is AI-generated.