Request a video call
Confirm Your Virtual Consultation
Rancherito Dental Descripción general del perfil

Los dientes son un órgano vital sin el cual los seres humanos no pueden vivir. Ya sea por su contribución a la funcionalidad o la apariencia del cuerpo, hay pocas cosas que sean tan necesarias para estar sanos como los dientes y la salud dental. Por lo tanto, no es de extrañar que la gran mayoría de las poblaciones de adultos y niños estén familiarizadas con las prácticas y la necesidad de la odontología familiar y cosmética.
Rancherito Dental es el principal destino para el cuidado dental cosmético, la odontología quirúrgica y la odontología restauradora. Si bien la mayoría de las personas están familiarizadas con los dos primeros términos, la gente común se pregunta qué es la odontología restauradora . No hay necesidad de preocuparse; sin embargo, le familiarizaremos con los conceptos básicos de estos tres tipos de procedimientos dentales. Tal vez sea más fácil explicar estos tipos de cuidado dental por el procedimiento de tratamiento que implica cada tipo de cuidado dental. Comencemos con la odontología cosmética.
Los procedimientos dentales cosméticos más populares incluyen
- Blanqueamiento dental cosmético: también conocido como “blanqueamiento dental”, los dentistas realizan este procedimiento para hacer que los dientes descoloridos y manchados sean más brillantes y blancos.
- Carillas dentales cosméticas: las carillas o láminas finas de porcelana se adhieren con cemento a la región frontal del diente para solucionar problemas dentales como decoloración, dientes torcidos y astillados, y para cubrir grandes espacios entre los dientes. Estas carillas deben fabricarse a medida para cada persona en particular.
- Implantes estéticos: los implantes dentales de metal se utilizan para rellenar el espacio de los dientes faltantes. Para fabricar estos implantes se utilizan distintos materiales. Luego, se necesita una cirugía para colocarlos en el hueso maxilar correspondiente. Por último, cumplen la función de raíz del diente. Los dentistas pueden fijar los dientes artificiales como puentes, coronas o dentaduras postizas.
- Coronas dentales cosméticas: estas fundas de metal y porcelana están hechas a medida por dentistas para colocarlas sobre un diente entero. Pueden soportar la presión de la mordida y se utilizan para tratar dientes cariados, malformados, astillados o rotos, o para rellenar espacios o empastes grandes.
- Modelado cosmético de dientes: el “modelado del esmalte”, otro nombre que se utiliza para referirse a este proceso, implica remodelar los dientes mediante la eliminación o el limado del esmalte. El procedimiento es cómodo y los efectos son inmediatos.
- Adhesión estética de dientes: este procedimiento se refiere al proceso de cuidado dental que consiste en adherir o unir material del color del diente a un diente. Se utiliza principalmente con fines decorativos.
- Tratamiento de ortodoncia cosmética: Al igual que los niños, los adultos con dientes torcidos o salientes también pueden beneficiarse de este procedimiento.
Procedimientos de restauración de la sonrisa
- Empastes: casi todo el mundo ha tenido un empaste en algún momento de su vida. Este procedimiento restaurador utiliza un material eficaz y seguro para rellenar una caries dental, evitando que siga deteriorándose y manteniendo sanos los demás dientes.
- Puentes: si le faltan uno o varios dientes en la misma fila, un puente puede ser un procedimiento restaurador adecuado. Estos puentes utilizan los dientes circundantes para rellenar el espacio con coronas dentales. Funcionan mejor para los dientes posteriores faltantes.
- Coronas-Las coronas dentales también se utilizan con fines terapéuticos además de su uso cosmético.
- Carillas, implantes, uniones: estos procedimientos dentales se utilizan como procedimientos terapéuticos como las coronas.
- Dentaduras postizas: son dientes falsos. Están diseñadas para que se sientan y se ajusten cómodamente a la boca de una persona. A diferencia de las carillas o los implantes, las dentaduras postizas se pueden quitar y limpiar a diario. Las personas pueden elegir entre juegos de dentaduras postizas parciales o completas.
Procedimientos de cirugía dental
- Implantes: Los implantes son comunes a todo tipo de procedimientos dentales según lo determine el propósito del proceso.
- Extracción de muelas del juicio: las muelas del juicio que crecen hacia dentro pueden afectar el funcionamiento adecuado de otros dientes. Por lo general, las personas se someten a este procedimiento sin mayores problemas, pero algunas pueden sufrir dientes torcidos o impactados.
- Endodoncia: La endodoncia es necesaria para salvar un diente infectado cuando la caries se infiltra en la pulpa dental. Los dentistas consideran que salvar los dientes es una prioridad máxima y deben eliminar la pulpa infectada y el nervio antes de sellar el diente.
Beneficios de Rancherito Dental en Los Algodones México
Lo que distingue a Rancherito Dental es el excelente nivel de personalización que ofrecen. Los médicos de la clínica no solo tienen experiencia comprobada, sino que la clínica pone al paciente en primer lugar. Eso no es solo una promesa, sino que la clínica cumple lo mismo. Pasan mucho tiempo escuchando al paciente y sus problemas antes de determinar la solución adaptada a sus necesidades específicas.
Rancherito Dental, Los Algodones, Mexico Detalles del perfil
Rancherito Dental garantiza que todas las necesidades de tratamiento dental de los pacientes se satisfagan adecuadamente. Los pacientes tendrán la libertad de presentar diversas preguntas, requisitos, quejas, comentarios, etc. a los expertos aquí. Todos los aportes, instrucciones y comentarios de los pacientes se tendrán en cuenta en este servicio médico para garantizar la satisfacción del cliente.
Rancherito Dental entiende que la interacción con los pacientes les permitirá obtener el mejor tratamiento de la mano de expertos. Los servicios médicos disponibles aquí cuentan con la última tecnología, incluyendo radiografías digitales que garantizan su seguridad y baja dosis, así como cámaras intraorales que facilitan a los pacientes obtener información sobre el tratamiento dental que recibirán en el futuro.
Rancherito Dental Tratamientos ofrecidos
Tratamiento dental antes y después en Los Algodones México

Rehabilitación Oral Completa | Rancherito Dental

Rehabilitación Oral Completa | Rancherito Dental

Barra fija de circonio All-On-Four

Carillas de composite | Rancherito Dental

Alargamiento de Corona | Rancherito Dental

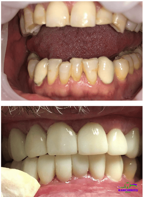
Rehabilitación Oral
Conducto radicular, poste, corona de porcelana fusionada a metal.
Rehabilitación Oral (Coronas de Zirconia)
Rehabilitación Oral - Coronas de Zirconio
Rehabilitación Oral (Coronas de Zirconia)
Rehabilitación Oral
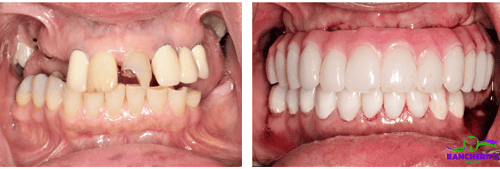
Extracción de boca completa Colocación de 8 implantes para el sistema span on
Renueva tu sonrisa con carillas
Antes de la prótesis dental a presión – Después de la prótesis dental a presión
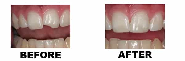
Antes de las carillas – Después de las carillas
Antes del relleno compuesto – Después del relleno compuesto
Antes de la unión cosmética – Después de la unión cosmética
Antes de las carillas de porcelana – Después de las carillas de porcelana
Rancherito Dental Certificates, Accreditations, Qualifications Tratamientos ofrecidos
Propietaria directa: Maricela Mendivil
Odontología Estética y General: Dra. Alejandra Rodarte
Odontología Estética y General: Dra. Adriana Cardona
Rancherito Dental Testimonios
"Este es el lugar al que debe acudir para sus necesidades dentales. El personal aquí trabajó más de 25 horas para reemplazar las coronas de mis dientes y trabajaron sin parar durante tres días. Las coronas quedaron hermosas. En Rancherito Dental pueden hacer que su sonrisa vuelva a ser hermosa".
Al Alvord
"Servicio limpio y eficiente. El personal es muy agradable y acogedor. Los recomiendo mucho."
Janice Cascioppo Brede
"Excelente trabajo dental y muy limpio."
Jeanne Curry Donley
Paciente: Kimberly - Tratamientos: All on 4
Rancherito Dental Premios y reconocimientos

- 15 años de experiencia en odontología quirúrgica, odontología cosmética y odontología restauradora.
- Aproximadamente 2897 pacientes satisfechos
- Profesional 26 Diplomados y 4 Personal
Los Algodones, Mexico Descripción general del destino
Puedes venir directamente a utilizar los mejores servicios dentales, o concertar una cita con un experto en la siguiente dirección:
Ave. "A" Entre Calles 2 y 3. Plaza Gisela Suite #16, Los Algodones, BC CP 21790
Además, podrás utilizar los servicios dentales aquí durante el siguiente horario comercial:
Lunes – Viernes 8:00 AM – 4:00 PM
Sábado 8:00 AM – 2:00 PM
Ubicación
Reviews
Acerca del Centro Médico
- Translations: EN ES
- Especialidad: Dentistry
- Ubicación: Av. A Between 2nd and 3rd St Los Algodones Baja California , Los Algodones 21790 , Mexico
- Packages: Tratamiento de conductos radiculares y paquete de corona de porcelana fusionada a metal en Los Algodones, México, de Rancherito Dental , Paquete de corona de zirconio y endodoncia en Los Algodones, México, de Rancherito Dental , Paquete de juego de dentaduras postizas asequible en Los Algodones, México, de Rancherito Dental , Implante Dental Único en Los Algodones, México por Rancherito Dental ,
- Vídeos del centro médico: Rancherito Dental
- Precios del Centro Médico: Rancherito Dental
- Descripción general: ¡Sus necesidades son lo primero! Esa es la filosofía que guía todas las acciones de todos los expertos dentales que conforman el equipo de Rancherito Dental. Entendemos la gran importancia de una comunicación adecuada para lograr nuestros objetivos. Por ello, nos esforzamos por escuchar atentamente sus consultas e inquietudes. ¡Acuda a nosotros para encontrar la solución perfecta que utilice la última tecnología para sus necesidades dentales, adaptada a sus necesidades particulares!

















Comparte este listado