Coronas de Zirconio, Coronas Dentales, Carillas, Coronas E-max, Odontología, Turismo Dental, Costo de Prótesis Dentales, Clínica Dental, Nuevo Progreso, México
Los mejores paquetes de coronas dentales de zirconio, coronas E-Max y carillas en Nuevo Progreso, México
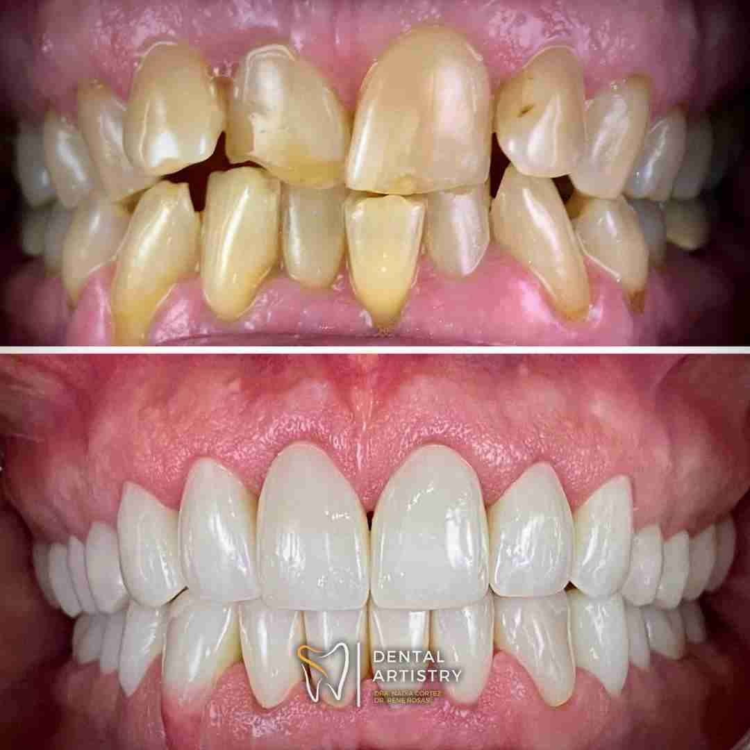
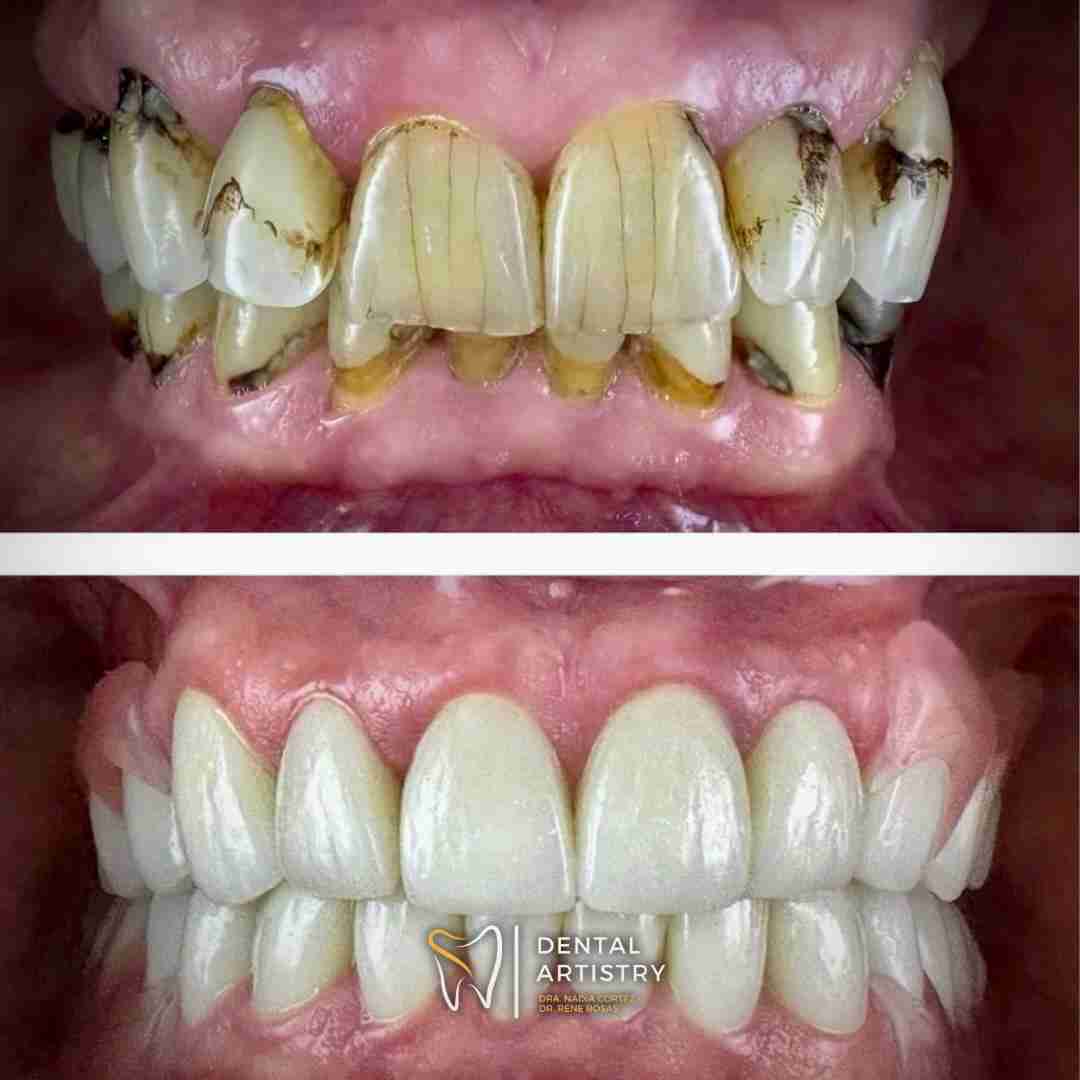
Las coronas de zirconio, las coronas E-Max y las carillas no solo le brindan una sonrisa mejorada y sorprendente, sino que también realzan su personalidad y le dan mucha confianza. Si planea hacerse este tratamiento en el extranjero, Nuevo Progreso, México, puede ser una excelente opción. Aquí aprenderá por qué debería hacerse coronas de zirconio, coronas E-Max y carillas en Nuevo Progreso, México.
Existen muchos centros médicos que ofrecen coronas de zirconio, coronas E-Max y carillas en Nuevo Progreso, México. Por lo tanto, debes tener mucho cuidado para elegir el que mejor se adapte a tus necesidades. Casi todos los centros afirmarán que tienen el mejor precio y el mejor médico, pero debes realizar tu propia investigación. Lo más importante es asegurarte de que el centro que elijas tenga permisos legales para realizar el procedimiento de tratamiento. Por lo tanto, debes verificar si el centro está autorizado y acreditado.
Factores que afectan el precio del paquete
Es posible que el mismo proveedor ofrezca diferentes precios de paquetes para coronas dentales de zirconio, coronas E-Max o carillas en Nuevo Porgreso, México. Esto sucede debido a factores relativos como:
- Número de dientes que requieren coronas de zirconio, coronas E-Max o carillas
- Edad del paciente
- Complejidades relacionadas con el procedimiento
Beneficios de las coronas dentales de zirconio, coronas E-Max o carillas en Nuevo Progreso, México
- Costo asequible
- Cirujanos dentistas de renombre
- Las mejores clínicas dentales
- Dientes bonitos y brillantes
- Apariencia segura
- Aumento de la confianza en uno mismo
- Ciudad exótica para unas vacaciones atractivas
Nivel de complejidad : medio
Costo : El costo de las coronas de zirconio, coronas E-Max o carillas en Nuevo Progreso, México comienza entre $400 y $500
Carillas E-Max: son delgadas como una lente de contacto y están hechas con material de litio e-max de alta calidad fabricado con una fresadora en nuestro propio laboratorio de tecnología CAD/CAM moderna. También contamos con nuestro escáner 3shape para escanear la preparación de sus coronas y carillas. El mejor precio actual sería 400 dólares por cada carilla.
Coronas de zirconio: serían las mejores coronas del mercado hoy en día, las coronas de zirconio son biocompatibles con los tejidos de la boca, se ven y se sienten más naturales, no contienen metal, son tan fuertes como el metal o incluso más, y tienen una vida útil de 35 a 45 años con garantía de 2 años a un bajo costo de $400 dllrs cada una. El mejor precio en esta época del año para estas coronas sería de $350 dllrs cada una. Podemos hacer todo de un día para otro.
Las coronas E-max son de vidrio de disilicato de litio, un sistema totalmente cerámico. Es una de las opciones más agradables desde el punto de vista estético, se puede colocar porcelana sobre ellas, creando una translucidez increíble y un diente de aspecto muy realista que combina con otros dientes naturales. Tienen un bajo costo de $400 dólares cada una.
Nota : Los precios finales se determinan después de la evaluación física y radiografías panorámicas.
Inclusiones :
- Consultas pre y postoperatorias
- Todos los gastos hospitalarios
- Todos los honorarios médicos (honorarios del médico, ortodoncista, anestesiólogo y personal de enfermería)
Exclusiones :
- Hotel o casa de recuperación
- Análisis de laboratorio preoperatorio
- Tarifa aérea
Lista de pruebas preoperatorias obligatorias :
- Radiografía de dientes
- Hemograma completo
- Análisis de orina común
Nota : Las coronas de zirconio, coronas E-Max o carillas vienen con una garantía de dos años.
Opciones de pago : Efectivo, tarjeta de crédito, transferencia bancaria
Nota : El centro puede requerir un depósito de dinero una vez que el paciente decide comenzar el tratamiento en la primera visita.
Cómo llegar
Nuevo Progreso, México, oficialmente la República de Río Bravo, México, cuenta con múltiples vuelos para ingresar al país desde varios destinos. El país está dividido en siete provincias, que se subdividen en 81 cantones y 463 distritos. Puede aprovechar la conectividad aérea en todos los principales destinos de turismo médico del país.
Para más detalles sobre Coronas de Zirconio en Nuevo Progreso, México, haga clic en el botón a continuación:

Comparte este listado