Request a video call
Confirm Your Virtual Consultation
International Dental Center PV Descripción general del perfil

Centro Dental Internacional PV: Su clínica dental de primera clase en Puerto Vallarta
Lidiar con problemas dentales puede ser estresante y afectar tu autoestima. Por eso, en International Dental Center PV nos enfocamos en brindar soluciones avanzadas que cubren todas tus necesidades, desde implantes dentales y restauraciones estéticas hasta rehabilitaciones bucales completas. Como clínica dental líder en Puerto Vallarta , combinamos atención experta, tecnología de punta y un enfoque centrado en el paciente para garantizar tu comodidad y transformar tu sonrisa. Nuestros servicios integrales nos convierten en una excelente opción para el turismo dental en Puerto Vallarta, ofreciendo odontología moderna que restaura tanto la función como la confianza, de la mano de un dentista de confianza en México.
Nuestro enfoque integral para la salud dental en el Centro Dental PV México
En International Dental Center PV, nos enorgullecemos de nuestra filosofía centrada en el paciente, que ofrece una atención dental excepcional en Puerto Vallarta, México. Creemos en crear un ambiente cómodo, privado y totalmente dedicado que garantiza la confidencialidad y una atención personalizada. Nuestro enfoque integral combina tecnología de punta con la experiencia de nuestro equipo altamente calificado, ofreciendo desde revisiones de rutina hasta reconstrucciones bucales completas, lo que nos convierte en el mejor centro dental que Puerto Vallarta tiene para ofrecer a pacientes internacionales que buscan tratamientos dentales accesibles en México.

Especialidades y servicios médicos clave en la Clínica Dental de Puerto Vallarta
Disfrute de una atención dental excepcional en Puerto Vallarta, México.
En International Dental Center PV, nos comprometemos a brindar una atención excepcional y centrada en el paciente, priorizando su comodidad y bienestar. Nuestra clínica dental en Puerto Vallarta ofrece un ambiente limpio, moderno y privado, lo que nos convierte en una de las principales opciones para el turismo dental en Puerto Vallarta para pacientes internacionales. Nuestro dentista principal en México, el Dr. Alberto Hernández, cuenta con más de 20 años de experiencia y ofrece una garantía de 3 años en todos los tratamientos dentales.
Ubicación y experiencia en el Centro Dental PV México
El Centro Dental Internacional PV está convenientemente ubicado en Puerto Vallarta, una hermosa ciudad costera conocida por su excelente turismo dental y su ambiente acogedor.
Nuestro dentista principal en México cuenta con más de 20 años de experiencia y ha tratado con éxito a más de 2000 pacientes internacionales, garantizando una atención dental experta en Puerto Vallarta, México.
Ofrecemos una garantía de 3 años en todos nuestros tratamientos dentales, lo que refleja nuestra confianza en la calidad de nuestros tratamientos dentales asequibles en México.
Nuestra filosofía de experiencia del paciente en la Clínica Dental Puerto Vallarta
Tecnología e innovación de vanguardia en el Centro Dental PV México
En International Dental Center PV, utilizamos tecnologías de vanguardia para brindar tratamientos dentales precisos, eficientes y cómodos. Nuestro compromiso con la innovación garantiza que usted reciba la mejor atención dental en Puerto Vallarta, México.
Nuestra ventaja tecnológica para tratamientos dentales asequibles en México
Servicios internacionales para pacientes en turismo dental en Puerto Vallarta
Entendemos que viajar para recibir tratamiento médico puede ser complicado. Por eso, International Dental Center PV ofrece servicios integrales para apoyar a nuestros pacientes internacionales, haciendo que su experiencia dental sea lo más sencilla y cómoda posible, consolidando nuestra reputación como uno de los mejores destinos de turismo dental en Puerto Vallarta.
Atención integral para nuestros pacientes internacionales que buscan un dentista en México
¿Por qué elegir el Centro Dental Internacional PV para su tratamiento dental?
Elegir International Dental Center PV significa elegir una clínica dental en Puerto Vallarta reconocida por su enfoque centrado en el paciente, tecnología de vanguardia y compromiso con la excelencia. Nos esforzamos por transformar vidas con tratamientos personalizados y un enfoque único en la seguridad y la comodidad, lo que nos convierte en la clínica dental de referencia en Puerto Vallarta, México, para quienes buscan la mejor atención dental en la ciudad.
Preguntas frecuentes sobre atención dental en Puerto Vallarta, México
Entendemos que pueda tener preguntas sobre la atención dental especializada en nuestra clínica dental de Puerto Vallarta. A continuación, encontrará algunas de las preguntas más frecuentes que recibimos sobre los tratamientos en el Centro Dental Internacional PV.
¿Por qué el Centro Dental Internacional PV es considerado uno de los mejores centros dentales de PV, México?
¿Cuánto puedo ahorrar en tratamientos dentales en México en comparación con Estados Unidos o Canadá?
¿Es seguro el turismo dental en Puerto Vallarta?
¿Cómo puedo iniciar el proceso si vivo en el extranjero?
¿Qué tipos de tratamientos complejos de implantes ofrece la clínica dental de Puerto Vallarta?
¿Te interesa una cita con un dentista en México?
Para obtener más información sobre los servicios que ofrecemos o para programar una consulta en International Dental Center PV, comuníquese hoy mismo con PlacidWay. Dé el primer paso para acceder a una atención dental de primer nivel y descubra por qué somos una de las mejores opciones de clínicas dentales en Puerto Vallarta.
International Dental Center PV, Puerto Vallarta, Mexico Detalles del perfil
Centro Dental Premier en Puerto Vallarta, México, por International Dental Center PV
El Centro Dental Internacional PV es reconocido como una clínica dental de primer nivel en Puerto Vallarta, que ofrece atención de clase mundial en un ambiente moderno y confiable. Como una de las principales opciones para el turismo dental en Puerto Vallarta, nos especializamos en procedimientos avanzados, rehabilitación oral completa y odontología estética. Nuestro objetivo es establecer el estándar de calidad en tratamientos dentales accesibles en México , lo que nos convierte en la mejor opción tanto para pacientes locales como internacionales que buscan lo mejor que un centro dental en Puerto Vallarta tiene para ofrecer. Cuando necesite un dentista altamente capacitado en México, confíe en nuestro experimentado equipo para obtener resultados excepcionales y duraderos.

Tecnología avanzada y experiencia: ¿Qué distingue a nuestro dentista en México?
En International Dental Center PV, nuestra filosofía se basa en tecnología de punta, experiencia especializada y atención dental integral en Puerto Vallarta, México. Creemos que un tratamiento dental excepcional es el resultado de combinar profesionales altamente capacitados con las herramientas más avanzadas. Nuestro compromiso con la tecnología de vanguardia garantiza diagnósticos precisos, una planificación de tratamiento exacta y procedimientos eficientes. Utilizamos sistemas de imagen digital y escáneres 3D para eliminar los moldes tradicionales, e incorporamos odontología láser y técnicas mínimamente invasivas para mejorar la precisión y promover una recuperación más rápida. Esta dedicación a la innovación asegura que cada paciente reciba una solución integral y personalizada para sus necesidades dentales de un dentista de primer nivel en México, ya sea un procedimiento sencillo o una reconstrucción bucal completa y compleja, todo como parte de nuestros tratamientos dentales accesibles en México.
¿Quién es un candidato adecuado para la atención dental en Puerto Vallarta, México?
El Centro Dental Internacional PV es el destino ideal para quienes buscan servicios dentales integrales y de alta calidad en Puerto Vallarta. Atendemos a una amplia gama de pacientes, desde quienes necesitan odontología general básica hasta quienes requieren procedimientos complejos y avanzados. Nuestro centro dental en Puerto Vallarta, México, es especialmente adecuado para quienes buscan tratamientos dentales accesibles en México o transformaciones completas de su sonrisa. Somos una de las mejores opciones para el turismo dental en Puerto Vallarta gracias a nuestra sólida reputación, comunicación transparente, tecnología de punta y especialistas experimentados. Estamos listos para ayudar a cada paciente a recuperar una sonrisa sana, segura y hermosa mediante soluciones dentales personalizadas.
International Dental Center PV Tratamientos ofrecidos
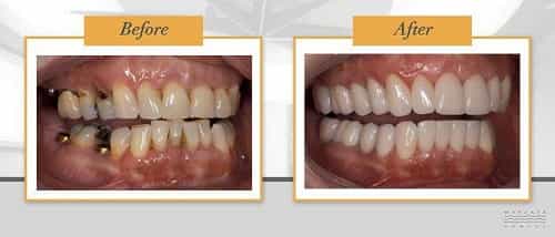
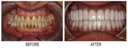
Atención dental en México por el Centro Dental Internacional PV: Imágenes de antes y después
¿Está considerando el turismo dental en Puerto Vallarta? International Dental Center PV es una clínica dental de primer nivel en Puerto Vallarta que ofrece atención de clase mundial a precios competitivos, haciendo realidad tratamientos dentales accesibles en México. Nuestros servicios integrales, brindados por un dentista experimentado en México, abarcan desde cuidado preventivo y tratamientos restaurativos como implantes y coronas dentales hasta transformaciones completas de la sonrisa.
Descubra el poder transformador de nuestro trabajo a través de las imágenes de antes y después que se muestran a continuación, donde podrá apreciar la calidad de la atención dental en Puerto Vallarta, México, y los excelentes resultados obtenidos en nuestro Centro Dental PV México . Nuestro compromiso con la tecnología de vanguardia y un servicio centrado en el paciente garantiza que su experiencia de turismo dental en Puerto Vallarta sea impecable y gratificante. ¡Vea la diferencia que pueden hacer los tratamientos dentales de alta calidad y a precios accesibles en México!

Antes y después: Cuidado dental transformador en Puerto Vallarta, México:
Servicios clave ofrecidos en el Centro Dental PV México:
Con equipos de última generación y un equipo de dentistas expertos en México, International Dental Center PV se dedica a brindar atención dental de primer nivel. Permítanos ayudarle a lograr una sonrisa sana y radiante. ¡Agende su cita hoy mismo en la clínica dental líder de Puerto Vallarta!
International Dental Center PV Certificates, Accreditations, Qualifications Tratamientos ofrecidos
Los mejores dentistas de Puerto Vallarta, México, según International Dental Center PV.
En International Dental Center PV, contamos con los dentistas más confiables y experimentados de México . Nuestro equipo de especialistas se dedica a brindar tratamientos dentales excepcionales en una clínica dental de vanguardia en Puerto Vallarta. Nos comprometemos a ofrecer atención dental de primer nivel en Puerto Vallarta, México, con tratamientos accesibles sin sacrificar la calidad, lo que nos convierte en un destino predilecto para el turismo dental en Puerto Vallarta.

Doctor en Cirugía Dental Alberto Hernández

Dra. Yoalli de Morey
Dr. Ángel Ocampo
Dra. Nancy Ibarra
Elegir International Dental Center PV significa recibir atención dental de primer nivel en un ambiente cálido y profesional. Nuestro experimentado equipo se dedica a ayudarle a lograr una sonrisa sana y radiante con los más altos estándares de profesionalismo y excelencia, lo que nos convierte en la mejor opción para tratamientos dentales accesibles en México y para el turismo dental en Puerto Vallarta.
International Dental Center PV Testimonios
Clínica Dental Puerto Vallarta: Testimonios reales de pacientes en el Centro Dental Internacional PV
Puerto Vallarta se ha consolidado como un destino líder a nivel mundial para el turismo dental, atrayendo a pacientes que buscan tratamientos dentales de calidad excepcional y a precios accesibles en México. Al buscar una clínica dental de confianza en Puerto Vallarta, los testimonios de pacientes son esenciales para comprender el nivel de atención y experiencia. Estas historias reales del Centro Dental Internacional PV destacan al equipo de dentistas altamente capacitados en México, la calidad de la atención dental en Puerto Vallarta y los importantes ahorros en procedimientos complejos. Siga leyendo para descubrir por qué tantos eligen el Centro Dental PV para todas sus necesidades dentales.
Pam Martinez - Calidad excepcional y miles de dólares ahorrados
Sarah Smith - La sonrisa más brillante y excelentes recomendaciones
Darya - Servicio profesional y rápido para coronas
Estos impactantes testimonios demuestran por qué International Dental Center PV es una de las mejores opciones para quienes buscan un dentista en México. Los pacientes elogian constantemente la calidad de su trabajo, que a menudo supera los estándares estadounidenses, el importante ahorro en tratamientos dentales asequibles en México y la atención altamente profesional que reciben. Ya sea que necesite restauraciones complejas o atención dental general en Puerto Vallarta, México, estas historias reales de pacientes ofrecen razones convincentes para elegir este centro dental en Puerto Vallarta para su próximo tratamiento. Con su excelente servicio y compromiso con la satisfacción del paciente, es el destino ideal para el turismo dental en Puerto Vallarta. Reserve su consulta hoy mismo y únase a los muchos pacientes satisfechos que han encontrado la solución dental ideal en Puerto Vallarta.
International Dental Center PV Premios y reconocimientos
Certificados del Centro Dental Internacional PV: Garantía de atención dental en Puerto Vallarta
El Centro Dental Internacional PV es una clínica dental de gran prestigio en Puerto Vallarta, México, comprometida con brindar la mejor atención dental . Nuestras certificaciones y afiliaciones verificables avalan nuestra firme dedicación a la excelencia clínica, la seguridad del paciente y el cumplimiento de los estándares internacionales. Al elegir nuestra clínica dental en Puerto Vallarta, elige un dentista de confianza en México, donde la calidad, la transparencia y las técnicas avanzadas se combinan para ofrecer tratamientos dentales accesibles, convirtiéndonos en una de las mejores opciones para el turismo dental en Puerto Vallarta.
Certificaciones PV del Centro Dental Internacional



Nuestras certificaciones son testimonio de nuestro compromiso con la precisión en los tratamientos y la obtención de resultados superiores y duraderos en todos los procedimientos dentales en Puerto Vallarta, México. Al elegir a nuestro dentista en México, elige un centro dental altamente calificado en Puerto Vallarta, donde la atención al paciente y la experiencia son primordiales. Descubra por qué somos considerados una de las mejores clínicas dentales de Puerto Vallarta, ofreciendo servicios de clase mundial y tratamientos dentales realmente accesibles en México para pacientes que realizan turismo dental en Puerto Vallarta.
Puerto Vallarta, Mexico Descripción general del destino

Descubre lo mejor del turismo dental en Puerto Vallarta en el Centro Dental Internacional PV
Puerto Vallarta se está consolidando rápidamente como un destino de primer nivel para quienes buscan tratamientos dentales de alta calidad y a precios accesibles en México. Con sus impresionantes paisajes costeros y su moderna infraestructura, Puerto Vallarta ofrece una combinación única de vacaciones relajantes e instalaciones médicas de vanguardia. El Centro Dental Internacional PV se destaca entre los mejores, brindando tratamientos de última generación y contando con profesionales experimentados. Los pacientes pueden lograr la sonrisa que desean y, al mismo tiempo, ahorrar considerablemente, lo que convierte al Turismo Dental en Puerto Vallarta en una opción popular para recibir atención dental superior en Puerto Vallarta, México.
¿Cómo llegar a Puerto Vallarta, México?
Llegar a Puerto Vallarta es muy sencillo, gracias a su condición de importante centro internacional en la costa del Pacífico mexicano. La ciudad cuenta con un aeropuerto internacional que ofrece una excelente conectividad global, lo que facilita el acceso a pacientes internacionales que buscan una clínica dental en Puerto Vallarta.
Consejos de viaje esenciales para turistas médicos
Planificar con anticipación garantiza un viaje tranquilo y sin estrés para su atención dental en Puerto Vallarta, México. Ya sea que venga para un chequeo sencillo o una rehabilitación bucal completa con tratamientos dentales asequibles en México, estar preparado le ayudará a aprovechar al máximo su experiencia. Aquí le ofrecemos algunos consejos esenciales para el turismo dental en Puerto Vallarta:
Asistencia con visados y alojamiento para pacientes
Viajar a México para recibir atención dental en Puerto Vallarta suele ser sencillo. Muchas nacionalidades pueden ingresar a México sin visa con fines turísticos. Se requiere un pasaporte vigente. El Centro Dental Internacional PV suele brindar asistencia con el alojamiento y los traslados desde el aeropuerto para una experiencia sin contratiempos, especialmente para quienes buscan tratamientos dentales asequibles en México.
Ubicación
Reviews
Acerca del Centro Médico
- Translations: EN ES
- Especialidad: Dentistry
- Ubicación: Aquiles Serdan 265 - E, Emiliano Zapata, 48380 Puerto Vallarta, Jal. , Puerto Vallarta 48380 , Mexico
- Packages: Paquete de cambio de imagen de sonrisa en Puerto Vallarta México por International Dental Center PV , Paquete de implantes dentales en Puerto Vallarta, México, por International Dental Center PV ,
- Vídeos del centro médico: International Dental Center PV
- Precios del Centro Médico: International Dental Center PV
- Descripción general: Disfrute de una atención dental de primera clase en International Dental Center PV, una clínica dental de confianza en Puerto Vallarta para pacientes locales e internacionales.







Comparte este listado