
Infantident en Merida, Mexico Reseñas de pacientes reales
Focus Area:
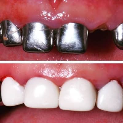
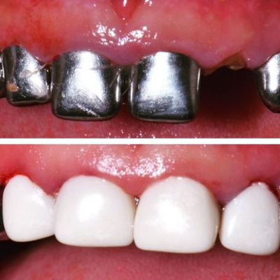
Infantident | Mérida | México | Odontología Pediátrica | Tratamientos Ortopédicos | Prótesis Dentales | Coronas Dentales | Implantes Dentales
Acerca de Infantident
Infantident es la mejor clínica dental en Mérida, México. Obtenga tratamientos de odontología pediátrica y ortopedia a precios accesibles en Mérida. Reserve ahora en PlacidWay.



Review Summary of Infantident
Alex Feldman, Pame Molina, Viridiana Salaya, and Castillo Stephany all praised Dentistry for children at Infantident in Merida, Mexico. Dr. Luis Perez was commended for being a trained and ethical specialist, providing super professional care, explaining situations in detail, offering excellent treatment, ensuring satisfaction with results, displaying patience, maintaining cleanliness, and guaranteeing service. The clinic's focus on specialized care for children, detailed explanations, excellent treatment results, and guaranteed service set it apart as a top choice for pediatric dentistry in Merida.
This Summary is AI-generated.