Obtenga una eliminación de toros asequible en Mexicali, México, por $235

Paquete de cirugía de toroide asequible en Mexicali, México
Obtenga un paquete de cirugía de torus rentable en Mexicali, México, de la mano de Elizondo. Reserve su cita para un tratamiento dental en México en PlacidWay. La Clínica Dental Elizondo es uno de los mejores lugares para obtener un tratamiento dental asequible en Mexicali.
La clínica ofrece tratamientos dentales de primera calidad a precios muy razonables. Puede satisfacer todas sus necesidades dentales en Elizondo Dental Clinic. La clínica cuenta con un equipo de dentistas experimentados y calificados que se dedican a brindar el mejor servicio a pacientes locales e internacionales.
Tabla de contenido • Costo • Procedimientos • Ventajas • Inclusiones • Exclusiones • Prueba preoperatoria • Médicos • ¿ Por qué México? • Preguntas frecuentes • Cómo reservar |
Costo de la eliminación de torus en Mexicali México por Elizondo Dental
Mexicali, México | Cirugía de extracción de toro | $235 |
Cirugía de extracción de toro | $600 | |
Cirugía de extracción de toro | $606 |
Nota: El precio puede cambiar dependiendo de la complejidad de los procedimientos y las condiciones del paciente.
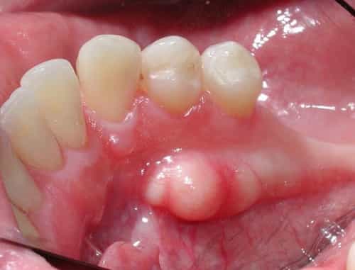
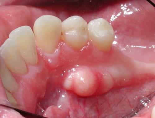
¿Qué es Torus (Tori)?
TORUS (TORI) Los toros son básicamente depósitos óseos adicionales que se han formado en los huesos maxilares superior o inferior. Cuando el hueso adicional se encuentra en el paladar duro, se denomina torus palatinus. Si los toros se encuentran en la mandíbula inferior, se consideran toros mandibulares (ya que la mandíbula inferior se conoce como mandíbula). La buena noticia es que la mayoría de los toros son en realidad benignos (no cancerosos) y no necesitan ningún tratamiento.

¿Cómo se forman los toros?
Existen muchos factores que pueden provocar la formación de torus maxilares o mandibulares. A continuación, se enumeran las causas:
- Genética
- Hábitos de rechinar y bruxismo
- Dientes desalineados
- Mordidas cruzadas y otros problemas de oclusión
¿Qué es la cirugía de eliminación de toris?
Ventajas del Tratamiento Dental en México por Elizondo Dental
- Obtén un tratamiento dental asequible en México, para que puedas ahorrar mucho dinero
- Brindar atención de la más alta calidad
- Consulta en línea 24 horas al día, 7 días a la semana, atención al paciente y cita previa.
- Resultado duradero
- Tiempo de recuperación corto
- Consiga una apariencia juvenil y un mejor estado de ánimo
Inclusiones de eliminación de toros
- Todos los honorarios de la clínica
- Consultas pre y postoperatorias
- Todos los honorarios médicos y honorarios del médico.
Exclusiones de la cirugía de Tori
Prueba preoperatoria de cirugía de toro
Dentista altamente calificado en Mexicali México en Elizondo Dental
Saúl Elizondo Medina
| Eduardo Barreda
|
¿Por qué elegir Dental in Mexico para la cirugía de extracción de torus?
Preguntas frecuentes sobre tratamientos dentales en Mexicali México
Puedes encontrar preguntas frecuentes sobre tratamientos dentales en Mexicali, México:
P: ¿Cuál es la calidad de la atención dental en México?
P: ¿Cuánto cuesta el tratamiento dental en México?
P: ¿Es seguro recibir tratamiento dental en México?
P: ¿Cuánto tiempo lleva recibir un tratamiento dental en México?
P: ¿Cuáles son los efectos secundarios del tratamiento dental en México?
¡Reserve su cita para paquetes de eliminación de toros en Mexicali México en PlacidWay!
Si está buscando un lugar confiable y asequible para realizarse una cirugía de extracción de torus, PlacidWay puede ayudarlo a conectarse con Elizondo Dental en Mexicali, México. Para obtener más información, no dude en hacer clic en el botón de contacto a continuación. Nuestro representante de atención al cliente le brindará más orientación:




Comparte este listado