Acerca de Care Smile Center
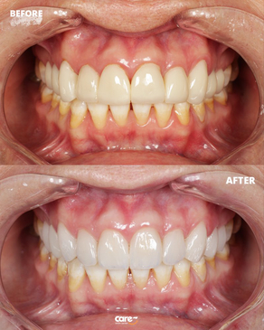
Care Smile Center, una clínica dental de primer nivel en Los Algodones, México, ofrece implantes dentales, carillas, endodoncias y odontología estética. Reserva ahora en PlacidWay.



Review Summary of Care Smile Center
Many reviewers emphasized the excellent customer service and professionalism of the entire staff. Don M mentioned Dr. Santiago's helpfulness in explaining treatment options and keeping him pain-free during visits. Jacob Luxford highlighted Care Smile Center as the best among multiple dental offices he visited, praising the quality of his crown treatment.
Disclaimer: Results may vary from patient to patient. It is important to consult with qualified healthcare professionals to determine the most appropriate treatment for your individual needs.
This Summary is AI-generated.
Comparte este listado